

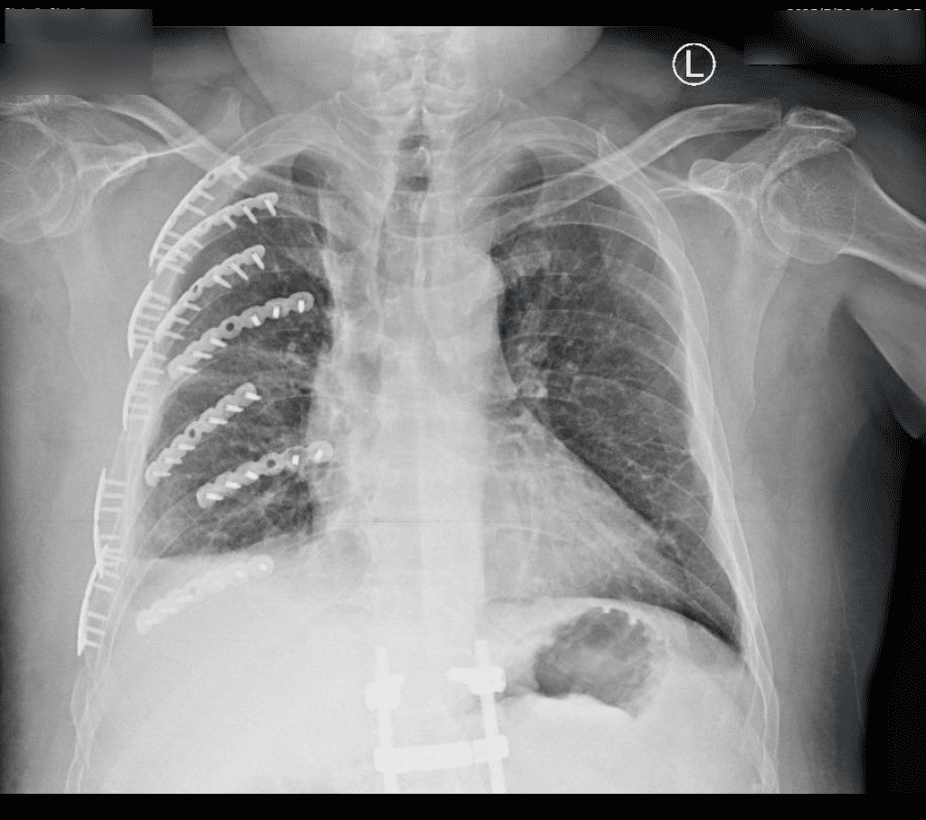
圖說:陳姓工人斷了14處肋骨經部彰重建恢復良好,不再因胸痛,已能開懷大笑
【賴傳媒、記者爆料網/曾厚銘/彰化報導】
日前在國道1號中部路段掉落高危險物的布鉤繩,51歲的陳姓工作人員下車撿拾,卻遭遊覽車撞成重傷,肋骨斷了14處、右手橈骨及骨盆腔也骨折,經送衛福部彰化醫院,由胸腔創傷微創重建中心及骨科接連手術後,原本連呼吸都痛、只能儘量憋氣的陳先生終於開心的說「不用再憋氣了!」
彰化醫院胸腔創傷微創重建中心主任林聿騰表示,患者身體強壯,在強烈撞擊下,還是有8根肋骨斷裂了14處,血胸及胸廓變形,造成嚴重錯位的「連枷胸」,也就是相鄰3根以上的肋骨骨折,吸氣時損傷部位下陷,疼痛指數可說是超過忍受範圍,如果未積極治療,恐引發肺炎、呼吸衰竭等併發症,因此先進行胸腔微創手術,將病人的痛楚降到最低。
林聿騰說,患者整個變形的胸腔透過3D胸廓重組影像定位,只在胸側及背後開了2個小傷口,以鈦合金骨板及骨釘進行肋骨固定,穩定整個胸腔,讓患者可以正常呼吸,接著再進行骨科手術。骨科醫師陳柏辰指出,患者右手橈骨在大力撞擊下,造成10多塊碎片的粉碎性骨折,他以鈦合金鋼板固定,骨盆腔骨折則保守治療,降低患者疼痛。
術後恢復良好的陳姓工人說,在10多年前他還是大貨車司機時,車子被布鉤繩的大鐵鉤絆到翻車,光車子就修理了10多萬元,人是沒什麼大礙。現在的工作已經做5年多了,他深知布鉤繩的危險,於是這次事件他和同事緊急出動,布置了緩撞車、工作車及預告警示車,都照SOP標準流程,沒想到在拿到掉落於車道的布鉤繩之後就被遊覽車撞到。








