【健康醫療網/記者黃嫊雰報導】40歲的許小姐於2024年至中山醫學大學附設醫院口腔顎面外科就醫,診斷為上顎牙齦癌,經醫師評估需大範圍切除上顎,鄰近腫瘤的10顆牙齒也保不住。口腔癌手術多數會改變患者口腔結構,影響外觀以及張口、吞嚥、咀嚼等功能,衝擊患者身心與生活品質,因此口腔重建也非常重要,不過從腫瘤切除、皮瓣重建,到顴骨植牙,過去需分別進行、可能耗時數月。本次中山附醫口腔顎面外科團隊,利用數位模擬與導航技術,為許小姐在同一日一次完成手術程序,治療時程大大縮短。
無「檳菸酒」仍可能罹口腔癌 從腫瘤切除到顴骨植牙一日完成
在台灣,口腔癌位列十大癌症之一,好發於長期抽菸、飲酒及嚼食檳榔的族群,但臨床上可見一定比例患者沒有相關習慣仍罹病,容易缺乏警覺而未及早就醫。中山附醫口腔顎面外科邱昱瑋醫師表示,許小姐最初就醫時,牙齦病灶其實屬良性,唯因延誤治療,後續回診已轉為惡性病變,手術時腫瘤約介於第二至第三期。
由於腫瘤位於上顎牙齦,手術需大範圍切除上顎骨,其中包含拔除10顆牙齒,再將植體植入顴骨中,以彌補上顎骨缺損。醫療團隊於術前即導入電腦數位模擬技術,規劃腫瘤切除範圍、術後牙齒排列位置。手術當日,再結合切割導版與電腦導航系統,將上顎口腔癌腫瘤切除、頸部淋巴清除、顴骨植牙及游離皮瓣重建,縮短至同一日內完成,也降低患者身體負擔。

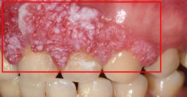
▲患者病灶位於上顎齒齦區域。(圖/中山附醫提供)
醫說明一日手術適用情境 惡性腫瘤治療策略考量複雜
邱昱瑋醫師也強調,並非所有口腔癌患者皆適合這類一日手術,須評估腫瘤侵犯範圍、切除位置高低、患者口腔條件與整體健康狀況,尤其與良性病灶相比,惡性腫瘤的治療策略更為複雜,像是術前或術後若需接受化放療,也可能使口腔軟組織改變,一樣要納入考量。
本次個案的許小姐,由於經評估口腔狀況相對良好、下排牙齒算健康,且腫瘤侵犯位置於牙齦的低位,因此符合條件可規劃進行一日手術。術後觀察許小姐口內癒合狀況穩定,且判斷後續無需接受化放療,約四至五個月後完成假牙重建,目前咀嚼功能已恢復,生活品質也得到維持。
口腔癌「看得到」卻常被忽視!醫:病灶「像菜花」不只是牙周病
中山附醫口腔顎面外科自2018年起逐步導入電腦數位模擬與導航技術,應用於顏面骨折外傷、正顎手術、腫瘤切除與重建等手術領域,透過加強術前規劃,協助醫師在安全前提下提升手術準確度。
邱昱瑋醫師也表示,不像肺癌或肝癌等癌症,口腔癌多數有明顯的口腔異常症狀、相對容易被發現,但臨床發現不少患者直到症狀惡化嚴重才求醫、確診時已是晚期,導致錯失早期治療時機。與一般口腔潰瘍或牙周病不同,若發現口腔潰瘍超過兩週未癒、傷口呈現糜爛狀、容易出血,或病灶可能呈不規則突起、類似菜花,應儘早就醫檢查。
【延伸閱讀】
七成口腔癌確診已晚期!醫示警「檳榔+菸酒」罹癌風險高123倍
資料來源:健康醫療網 https://www.healthnews.com.tw/readnews.php?id=67380
喜歡本文請按讚並分享給好友!
更多健康資訊:健康醫療網https://www.healthnews.com.tw








