
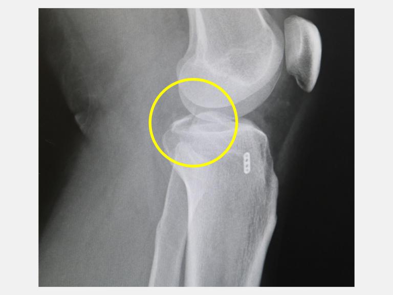
▲黃先生因車禍導致左腳膝蓋又腫又痛,檢查發現是脛骨後十字韌帶撕脫性骨折,仁愛長庚醫院運動醫學中心徐振恆醫師安排微創關節鏡輔助復位固定手術後,他隔天就開始下床走路,並進行復健運動,2個月之後已經回到正常生活。(圖╱仁愛長庚醫院提供)
【亞太新聞網/記者孔亮云/台中報導】
台中一位28歲黃先生在騎機車上班途中發生車禍,左腳膝蓋又腫又痛,不只躺在地上爬不起來,甚至連膝蓋彎曲都有困難,由救護車送到仁愛長庚合作聯盟醫院(大里仁愛醫院)的急診室,X光檢查發現他左腳膝關節骨折,經進一步電腦斷層掃描後顯示是脛骨後十字韌帶撕脫性骨折(posterior cruciate ligament avulsion fracture)。運動醫學中心徐振恆醫師安排微創關節鏡輔助復位固定手術後,黃先生隔天就開始下床走路,並進行復健運動,2個月之後已經回到正常生活。

▲徐振恆醫師提醒,民眾在車禍後膝蓋若出現腫痛、無力感或不穩的感覺,應該儘快就醫接受專業醫師的詳細檢查與治療,早期介入可盡快恢復正常生活,降低長期併發症和創傷性關節炎的機會。(圖╱仁愛長庚醫院提供)
徐振恆醫師指出,由於台灣機車族眾多,每天交通事故頻繁,除了常見擦傷、骨折外,膝關節的十字韌帶受傷也屢見不鮮。黃先生的後十字韌帶撕脫性骨折(即後十字韌帶連帶一小塊骨折塊從脛骨上被拉起),最常見於機車車禍,原因是在跌倒時膝蓋彎曲脛骨受到直接向後的衝擊力所造成。黃先生在事故發生後膝蓋不但疼痛、腫脹,還感覺膝蓋不穩,即使勉強拿拐杖行走,膝關節也沒有力氣支撐,這種傷勢不但可能造成膝關節不穩,若未即時和正確治療,還可能導致日後膝關節退化與功能障礙。
徐振恆醫師說明,傳統開放式手術在膝蓋後面有10公分以上的大切口,膝蓋後方有很多的神經血管容易受傷,術後不僅復原期長又容易有肌肉萎縮、沾黏和膝關節僵硬問題,對病人和家屬造成較大負擔。現今長庚醫院有純熟的關節鏡手術技術,醫師能透過膝蓋前方幾個1公分小切口進入膝關節中,在高解析度螢幕下清楚觀察關節內部構造,不僅精準復位骨折並進行固定,同時保留十字韌帶完整性,更不會有傳統手術誤傷膝蓋後方神經血管的風險。此外,若病人同時有膝關節半月板或軟骨損傷,也能同步處理,提高膝關節穩定性與長期功能表現,這是過去傳統手術無法做到的。這種微創關節鏡輔助方式減少正常組織的傷害,也降低疼痛與感染風險,有助於病人加速術後康復。
徐振恆醫師提醒,民眾在車禍後膝蓋若出現腫痛、無力感或不穩的感覺,應該儘快就醫接受專業醫師的詳細檢查與治療,早期介入可盡快恢復正常生活,降低長期併發症和創傷性關節炎的機會。








