56歲的楊先生正值壯年,身為家中經濟支柱,卻長期受雙側腰部酸痛及反覆血尿所苦。
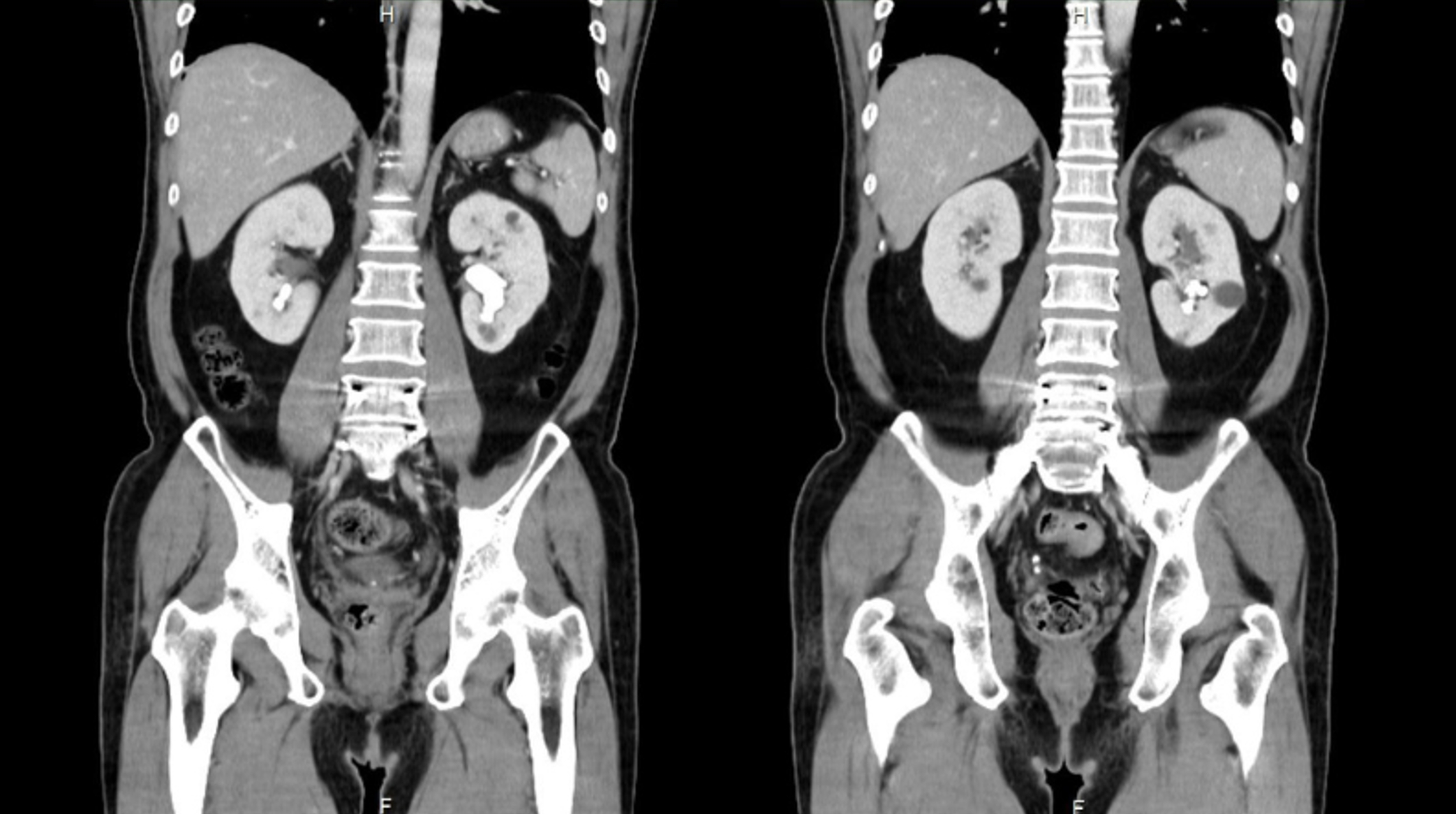
經衛福部雙和醫院泌尿科董劭偉醫師檢查發現,其病情較為複雜屬於複雜型腎結石,雙側腎臟皆有結石,尤其左側腎臟為最長徑達3公分的「部分鹿角結石」並延伸至下腎盞,右側同樣有下腎盞結石。楊先生擔心傳統手術傷口大且恢復期長會影響工作,遲遲不敢手術,董醫師醫病溝通後,決定採用「新世代微創金三角」技術治療,楊先生術後全身無傷口,成功清除雙側腎結石,且隔日順利出院,重返職場恢復日常生活工作。

極細軟鏡搭配專利負壓吸石導管 打造「新世代微創金三角」
雙和醫院泌尿科董劭偉醫師指出,楊先生主要訴求為「極小化創傷」與「快速復原」。因此採取「新世代微創金三角」的技術,以 7.5Fr. 極細軟式輸尿管鏡、高能量鈥雷射,結合吸石清負壓可彎式導管鞘,協助手術達到接近 Stone-Free(幾乎無殘留結石)效果。董醫師指出,使用 7.5Fr. 軟鏡的管徑極細,直徑僅約 0.25 公分,相較其他管徑較粗的軟鏡,能更靈活彎曲抵達角度刁鑽的下腎盞,並精準擊碎散布的結石。極細軟式輸尿管鏡的鏡身不僅能減少對輸尿管的機械性損傷,搭配吸石清負壓導管鞘,可在碎石過程中同步吸出結石碎片,輔助醫師在手術中同時處理雙側腎結石。
鹿角腎結石是腎結石大魔王 負壓吸石降低復發成關鍵
董劭偉醫師解釋,像楊先生左側最長達 3 公分的「部分鹿角結石」被視為手術的大魔王,因其結石分支延伸至不同腎盞,尤其下腎盞位於腎臟最底部,角度非常刁鑽。一般使用「經皮穿腎取石術需在背部穿孔,若要清除乾淨楊先生的鹿角結石過去往往可能需多處穿刺,出血風險與術後疼痛對患者壓力較大。更重要的是,傳統治療後患者還需自行排石,而結石復發的主因往往在於術後殘留的微小碎屑,若僅靠人體自然排出,未排淨的碎片極易成為新結石生成的種子。因此,本次治療董醫師以 7.5Fr. 極細軟式輸尿管鏡由天然尿路進入,無須開刀,配合吸石清負壓可彎式導管鞘的技術,將碎片、粉末吸出體外,對於多發性及下腎盞結石有助於達到更高的清除率,減少未來復發機率。
吸石清結合高功率鈥雷射 降低鹿角腎結石手術感染
董劭偉醫師強調,泌尿科手術同時也需預防術後「敗血性休克」的風險,這通常與手術時間過長及術中腎內壓力過大有關。傳統手術需大量灌水,若壓力過高可能導致帶菌尿液回流至血液中。而本次微創手術中,透過高能量鈥雷射提升粉碎能力,協助縮短手術時間,同時,吸石清負壓系統能有效維持術中的低腎內壓環境,有助降低術後發燒、感染及敗血性休克的風險,進一步增加手術安全性。

術後清空是重點 醫籲:多喝水與定期追蹤不可少
董劭偉醫師指出,腎結石若未及時處置,易導致尿路阻塞、腎水腫及反覆感染,長期高壓環境恐造成腎功能不可逆的受損,甚至引發尿毒症或敗血性休克,因此除了透過微創手術清空結石外,患者術後也應配合大量喝水、控制飲食習慣,避免過量鈣或維他命D攝取並定期追蹤。董劭偉醫師最後提醒,若民眾出現腰部悶痛、反覆血尿或尿路感染等症狀,應儘速就醫檢查,針對複雜性結石,可諮詢專業醫師評估適合的治療方案,以保護腎功能並維持生活品質。
這篇文章 3公分鹿角腎結石引發血尿腰痛 極細軟鏡微創手術助患者擺脫困擾 最早出現於 火報。







