
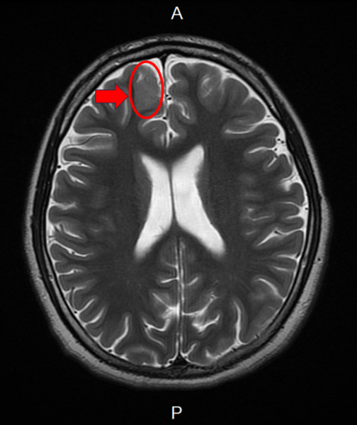
▲張寶玲醫師診察發現男孩有腦皮質發育不良(如箭頭所示)情形。 (圖/記者蔣彤雲攝)
【亞太新聞網/記者蔣彤雲/新竹報導】
新竹臺大分院小兒部張寶玲醫師日前為一名14歲自閉症罹患頑固性癲癇男孩判讀並定位癲癇來源,再由神經外科醫師切除病灶,術後病理報告證實為局部腦皮質發育不良(Focal Cortical Dysplasia),男孩術後恢復良好
,癲癇發作次數明顯減少,他的家人對院方醫護人員的治療深表感激。
這名14歲自閉症男孩自3歲起因癲癇在外院接受抗癲癇藥物治療,但仍頻繁發作,並伴隨意識喪失以及嚴重學習障礙,因癲癇控制不佳,轉至新竹臺大分院就醫,進一步接受檢查與評估。
新竹臺大分院小兒部張寶玲醫師評估後發現,男孩腦波檢查出現頻繁右側額葉局部癲癇波,懷疑可能存在腦部病灶,進一步安排腦部磁振造影檢查後,發現右側額葉異常病灶。由於病人屬於頑固性癲癇,在多種抗癲癇藥物治療下仍持續發作,醫療團隊評估後建議接受癲癇手術。
手術過程中透過腦皮質腦波監測,由張寶玲醫師即時判讀並定位癲癇來源,再由神經外科醫師切除病灶,術後病理報告證實為局部腦皮質發育不良,男孩術後恢復良好,未出現併發症,也未再發生意識喪失,癲癇發作次數明顯減少。
張寶玲醫師表示,局部腦皮質發育不良屬於腦皮質發展畸形的一種,也是兒童癲癇手術最常見的病理原因,雖然這類病變並非惡性腫瘤,但若引發癲癇,仍需積極評估是否需要外科手術治療。
張寶玲醫師指出,約有四分之一的癲癇病人屬於頑固型癲癇,在多種藥物治療下仍可能持續發作。若癲癇長期未能有效控制,可能影響孩子的心智與動作發展。
張寶玲醫師提醒,對於頑固型癲癇病人,除了藥物治療外,建議進一步接受腦部影像檢查,也可評估基因檢測,以利制定個人化精準治療方案。透過持續追蹤與治療,才能有效控制癲癇並降低對發展的影響。








