
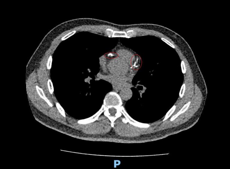
▲49歲的林先生進行低劑量電腦斷層肺癌篩檢(LDCT),意外發現心血管鈣化嚴重,進一步檢查才驚覺冠狀動脈竟有85%至100%的高度阻塞,衛福部彰化醫院心臟科醫師李學林為他以最新技術「血管內震波碎石術(IVL)」成功擊碎鈣化斑塊,並順利植入三支支架,讓血流重新暢通。(圖╱彰化醫院提供)
【亞太新聞網/記者孔亮云/彰化報導】
不只腎結石可用震波擊碎,現在心血管硬斑也能震碎!49歲事業有成的林先生日前進行低劑量電腦斷層肺癌篩檢(LDCT),意外發現心血管鈣化嚴重,進一步檢查才驚覺冠狀動脈竟有85%至100%的高度阻塞,引發急性心肌梗塞的風險極高。衛福部彰化醫院心臟科醫師李學林隨即以最新技術「血管內震波碎石術(IVL)」成功擊碎鈣化斑塊,並順利植入三支支架,讓血流重新暢通。

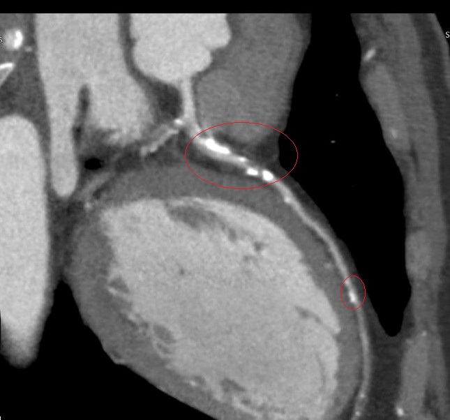
▲心臟冠狀動脈電腦斷層顯示林先生冠狀動脈鈣化阻塞。(圖╱彰化醫院提供)
這是彰化醫院新進設備及IVL技術的第一起病例,重拾健康的林先生發願幫助更多有經濟困難的病人能用到IVL新技術,因此指定用途捐贈108萬元給彰化醫院。對這項善舉林先生不願曝光,只說神明諭示他要給李學林醫師手術,受惠於醫療新技術,他願意貢獻一己之力。其實林先生自109年起即捐贈每月5萬元給彰化醫院社救基金。

▲李學林醫師指出,林先生進一步做心臟冠狀動脈電腦斷層,確認為3條主要冠狀動脈血管內鈣化狹窄達85%以上,若未及時處理,隨時可能引發急性心肌梗塞。(圖╱彰化醫院提供)
李學林表示,林先生日前接受肺癌篩檢時意外發現心血管鈣化,但無法確認是血管內或血管外鈣化。因患者平時已出現胸悶症狀,進一步做心臟冠狀動脈電腦斷層,確認為3條主要冠狀動脈血管內鈣化狹窄達85%以上,若未及時處理,隨時可能引發急性心肌梗塞。

▲「血管內震波碎石術(IVL)」對血管壁更為溫和,能有效降低血管破裂與剝離風險,安全性更高,但目前這項技術尚未納入健保給付。(圖╱彰化醫院提供)
李學林說,醫療團隊透過心導管手術搭配 IVL技術,利用震波氣球貼近血管壁發出超聲壓力波,擊碎血管壁的堅硬鈣化斑塊,讓原本僵硬的血管恢復擴張性,為支架放置創造理想的環境,再植入3支支架,使支架能完整展開、貼合血管,降低支架血栓及再狹窄的風險。
李學林指出,臨床上約有三成冠狀動脈疾病患者伴隨中重度血管鈣化狹窄,鈣化讓血管變硬、難以擴張,造成治療挑戰。相較於傳統治療如切割球囊或鑽石旋磨術,IVL對血管壁更為溫和,能有效降低血管破裂與剝離風險,安全性更高,但目前這項技術尚未納入健保給付。
李學林說,林先生本身具有三高、家族史及吸菸習慣,是典型的心血管疾病高風險族群,雖未發生急性心肌梗塞,但血管阻塞卻已悄悄累積。這次在肺癌篩檢中發現心血管鈣化,可說是「意外的及時預警」。
李學林表示,要看出心血管鈣化情況可以靠心臟冠狀動脈電腦斷層掃描,快速、無侵入性地檢測出心血管的鈣化程度,但必須自費且費用不低,如果能先做LDCT,不僅能篩檢肺癌,還能了解心血管的鈣化情況,如果發現心血管有鈣化,最好要與心臟專科醫師討論後續要做什麼檢查,以符合自身的需求,以免在心肌梗塞發作前錯失治療時機。
政府目前針對「具肺癌家族史」、「具重度吸菸史」兩大肺癌高風險族群,補助每兩年一次的免費LDCT,一般人則需自費篩檢,現今很多人在安排健檢時也會將LDCT納入項目,成了健檢趨勢。








