
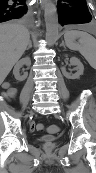
▲X光影像顯示,病人罹患多發性骨髓瘤,腰椎及胸椎已出現多節壓迫性骨折。 (圖/記者蔣彤雲攝)
【亞太新聞網/記者蔣彤雲/新竹報導】
新竹臺大分院血液腫瘤科陳建源醫師指出,多發性骨髓瘤常見病徵包含貧血、腎功能不全、骨頭疼痛或反覆骨折,以及高血鈣,好發於中老年族群,症狀容易被誤認為老化、退化性骨病變或慢性病惡化,導致延誤診斷。
一名 80 多歲男性病人,先前因慢性腎臟病合併腸胃道出血住院治療,返家後由家人照護,未料短時間內再度出現嚴重貧血,轉至新竹臺大分院急診室,抽血檢查發現血紅素僅剩 4.2 g/dL,經醫療團隊深入評估,揪出導致反覆貧血與出血的真正病因為多發性骨髓瘤,並採用健保給付的標靶藥物治療,病情獲得有效控制,貧血與腸胃道出血明顯改善,順利返家休養。
病人住院期間,醫療團隊進一步評估發現,他的腎功能惡化情形與原有慢性腎臟病進展並不相符,研判可能另有潛在病因,於是安排免疫蛋白電泳檢查,檢出異常免疫球蛋白,病人長期有腰背疼痛情形,影像檢查顯示腰椎與胸椎已有多節壓迫性骨折,並合併高血鈣表現,臨床高度懷疑為多發性骨髓瘤。
在進一步檢查前,病人與家屬對侵入性檢查的風險有所顧慮,經醫療團隊完整說明檢查必要性與可能風險,並充分溝通後完成骨髓檢查,最終確認診斷為多發性骨髓瘤,後續治療採用健保給付之標靶藥物,不僅有效控制骨髓瘤病情,也同步改善因腎臟病相關血管異常增生所引起的腸胃道出血,達到一種藥物、雙重治療效果。

▲陳建源醫師視病猶親。 (圖/記者蔣彤雲攝)
新竹臺大分院血液腫瘤科陳建源醫師指出,多發性骨髓瘤常見病徵包含貧血、腎功能不全、骨頭疼痛或反覆骨折,以及高血鈣,好發於中老年族群,症狀容易被誤認為老化、退化性骨病變或慢性病惡化,導致延誤診斷。隨著治療持續進步,目前已可透過健保給付的標靶藥物、免疫調節藥物合併類固醇治療,並依病人狀況搭配輸血、骨骼與腎臟照護等支持性治療,有助於穩定病情並降低併發症風險。
陳建源醫師提醒,中老年族群若出現不明原因貧血、腎功能突然惡化、長期腰背疼痛或不明原因骨折,以及高血鈣引起的倦怠、食慾不振等情形,應及早就醫檢查評估,把握治療時機。








