
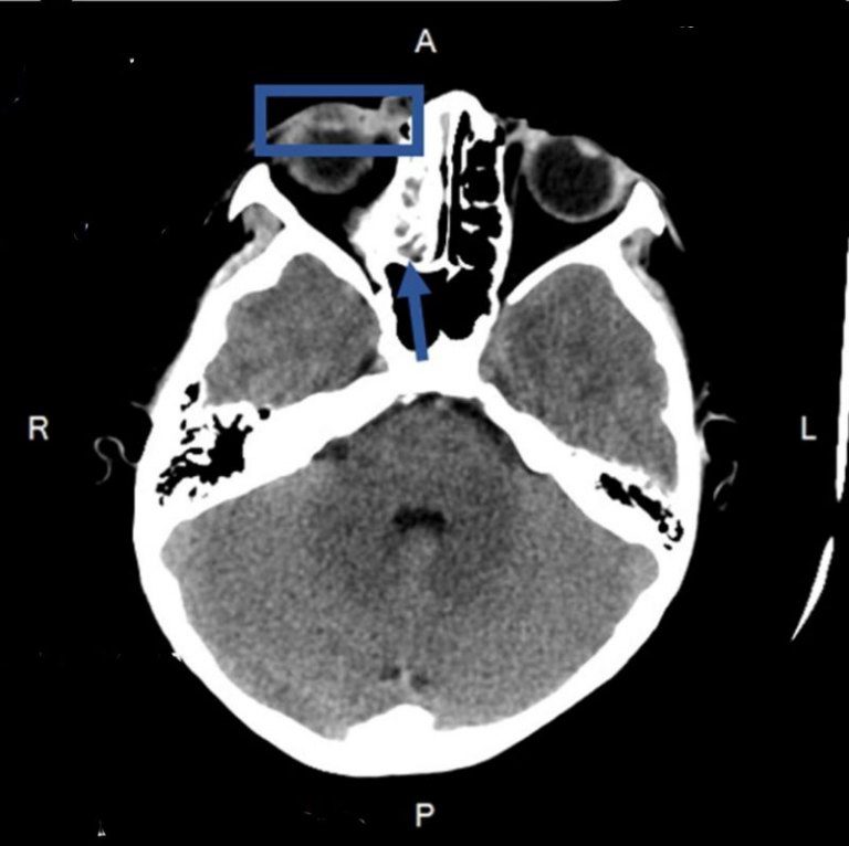
▲CT 影像顯示藍框處為右眼眼瞼發炎腫脹,箭頭處則是右側鼻竇炎。(圖/新竹臺大分院提供)
【亞太新聞網/記者蔣彤雲/新竹報導】
新竹臺大分院小兒部許瑋芸醫師指出,眼球周圍的感染可分為「隔膜前(眼眶周圍)蜂窩性組織炎」及「眼窩蜂窩性組織炎」,兩者都可能因鼻竇炎惡化或眼眶周圍皮膚感染導致細菌擴散至眼球周圍構造,其中「眼窩蜂窩性組織炎」可能引發更嚴重的併發症,如眼窩內膿瘍、海綿竇血栓,進而導致視力受損、腦部感染或血栓形成,甚至有失明或死亡的風險,不得不慎。
一名九歲男童不久前感冒,原本已逐漸改善的鼻塞、流鼻涕症狀突然加重,右眼更出現紅腫、疼痛情形,家屬起初帶他至眼科診所就醫,但病況惡化,右眼腫脹範圍擴大且疼痛加劇,隨即轉往新竹臺大分院急診就醫。

▲許瑋芸醫師表示鼻竇炎惡化可能導致眼周感染,家長應留意孩子病況變化,避免延誤治療。(圖/新竹臺大分院提供)
新竹臺大分院小兒部許瑋芸醫師診察後發現,男童右眼下眼瞼紅腫並壓痛,範圍超過下眼瞼,進一步抽血檢查顯示白血球數值及發炎指數顯著上升,醫療團隊隨即進行電腦斷層檢查並安排住院,經評估與檢查確診為隔膜前(眼眶周圍)蜂窩性組織炎,立即給予男童靜脈抗生素治療,病況逐漸改善,後續改以口服抗生素治療,後順利出院返家休養,並於門診追蹤,目前已完全康復。
許瑋芸醫師解釋,眼球周圍的感染可分為「隔膜前(眼眶周圍)蜂窩性組織炎」及「眼窩蜂窩性組織炎」,兩者皆可能因鼻竇炎惡化或眼眶周圍皮膚感染導致細菌擴散至眼球周圍構造,其中,眼窩蜂窩性組織炎可能引發更嚴重的併發症,如眼窩內膿瘍、海綿竇血栓,進而導致視力受損、腦部感染或血栓形成,甚至有失明或死亡的風險,這類感染最常見的致病菌為葡萄球菌,此外,鏈球菌、嗜血桿菌等也可能引發感染,須盡快使用靜脈抗生素治療,嚴重時甚至需透過手術引流膿瘍,以防止進一步併發症。
許瑋芸醫師提醒,家長若發現孩子眼瞼出現紅、腫、熱、痛等症狀,應提高警覺,若同時伴隨眼球突出、複視(看東西重影)、視力變差,或轉動眼球時活動受限與疼痛等情況,表示感染可能已波及眼窩,應立即就醫,以免病情惡化,影響視力甚至危及生命。








